牙医管家是一款专门为口腔诊所研发设计的永久免费口腔管理软,界面简洁,操作简单。提供患者预约、回访、统计、收费、病历、库房管理、头影测量、美学设计等基础功能,PC端、手机端、PAD端和微信端互联互通。
1.实时完成患者预约,预约时段可以细化到15min,医生排班快速锁定.

2.患者信息录入永久保存,实现本地+云端存储,可以通过电脑、APP、IPD等多种方式实现查询。

3.可根据时间设置患者回访提醒,与电话盒一起使用实现智能电话管理,来电显示详情能呵护到所有患者。

4.收费对账功能省去计算的繁琐过程,费用核算后自动生成,对账日历按月统计收费情况,分类精确到每日, 收费、欠费、预交、流水情况均有详细的表格记录,根据时间等精确查找。

5.自定义打印模板,提供规范化的医疗票据打印支持内置标准模板与自定义设置两种格式。

6.智能库房系统,会思考的后勤机器人,连锁店库存查询,及时调整供需,提高口腔诊所办公效率、库存盘点、低量报警功能能合理的保证生产供应的同时,压缩库存资金。

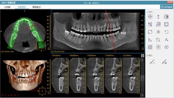
7.数字化影像处理专家,适配各类影像硬件,图像实时查看调用患者信息。

8.为口腔诊所提供个性化科学运营方案及营销方案。

9.DSD美学设计 高效突破成交瓶颈,自动智能,操作人性化。自动弹出参考框、线等,微调操作,快速选定,调用模板,牙形、贴面自动替换 效果对比直观,微信分享更便捷、医患沟通更高效。
